Año 2024 / Volumen 35 / Número 2

Notas Clínicas

Braquidactilia tipo B: a propósito de un caso poco frecuente
Brachydactyly type B: rare case report

Rev. Esp. Pod. 2024; 35(2): 116-119 / DOI: 10.20986/revesppod.2024.1702/2024

Brian Villanueva Sánchez


RESUMEN

La braquidactilia es una condición genética caracterizada por el acortamiento de los dedos de las manos o de los pies que pueden ocurrir de forma aislada o formando parte de un síndrome. El presente artículo muestra el caso clínico de una mujer de 62 años, que presentaba hematoma subungueal en ambos primeros dedos del pie y braquidactilia aislada afectando al segundo, tercer y cuarto dedo del pie izquierdo. El objetivo de este artículo es poner en evidencia un hallazgo clínico infrecuente y sus posibles tratamientos.



ABSTRACT

Brachydactyly is a genetic condition characterized by shortening of the fingers or toes that can occur in isolation or as a part of a syndrome. This article report the clinical case of a 62-year-old woman who presented subungual hematoma in both first toes and isolated brachydactyly affecting the second, third and fourth toes of the left foot. The objective of this article is to highlight a rare clinical finding and its possible treatments.





Artículo Completo


DOI: http://dx.doi.org/10.20986/revesppod.2024.1702/2024
NOTA CLÍNICA

Braquidactilia tipo B: a propósito de un caso poco frecuente
Brachydactyly type B: rare case report

Brian Villanueva Sánchez1

1Práctica privada. Barcelona, España

Resumen

La braquidactilia es una condición genética caracterizada por el acortamiento de los dedos de las manos o de los pies que pueden ocurrir de forma aislada o formando parte de un síndrome. El presente artículo muestra el caso clínico de una mujer de 62 años, que presentaba hematoma subungueal en ambos primeros dedos del pie y braquidactilia aislada afectando al segundo, tercer y cuarto dedo del pie izquierdo. El objetivo de este artículo es poner en evidencia un hallazgo clínico infrecuente y sus posibles tratamientos.

Palabras clave: Pie, braquidactilia, genética, malformación

Abstract

Brachydactyly is a genetic condition characterized by shortening of the fingers or toes that can occur in isolation or as a part of a syndrome. This article report the clinical case of a 62-year-old woman who presented subungual hematoma in both first toes and isolated brachydactyly affecting the second, third and fourth toes of the left foot. The objective of this article is to highlight a rare clinical finding and its possible treatments.

Key words: Foot, brachydactyly, genetic, malformation

Correspondencia: Brian Villanueva Sánchez
villanueva1brian@gmail.com

Recibido: 22-06-2024
Aceptado: 02-10-2024

Introducción

La braquidactilia (BD) es una malformación de las extremidades que afecta a la longitud de los dedos de manos y pies, caracterizada por una disostosis, osificación defectuosa de los cartílagos fetales, la cual puede ocurrir de forma aislada o en combinación de varias malformaciones óseas, formando parte de un síndrome(1,2).
Las malformaciones de manos y pies que puedan aparecer ocurren durante la blastogénesis, que tiene lugar de la cuarta a la octava semana siguiente a la concepción, o mucho después de que se forme la extremidad(3,4). En condiciones de normalidad durante el desarrollo embrionario, la formación de la extremidad inferior ocurre durante la sexta semana de desarrollo; el mesodermo condensado se condrifica para formar un molde de cartílago hialino de los huesos de la extremidad inferior(5).
Diferentes anomalías, tales como sinfalangismo, sindactilia o la desviación digital, son características de presentar BD, pudiendo ser reconocida en el nacimiento o en la niñez después de un fallo de la osificación de componentes digitales. Se pueden distinguir diferentes tipos de BD según criterios anatómicos y patrones radiológicos(3), la mayoría de los tipos son raros exceptuando la BD tipo A3 y BD tipo D, que tienen una prevalencia de alrededor del 2 %(6,7) (Tabla 1). Este artículo se enfoca en la BD tipo B (BDB; ONIM # 113000) (11).

Las características distintivas de la BDB son la hipoplasia o ausencia de falanges distales y láminas ungueales, como también el acortamiento de las falanges medias, produciendo un aspecto de amputaciones de los dedos de la segunda a la quinta falange(3,12,13).
La BDB es un trastorno autosómico dominante, causada por mutaciones heterocigóticas en el gen ROR2 que codifica un receptor tirosina quinasa, localizado en el cromosoma 9 en 9q22 (8, 14,15). La idea de este artículo es presentar este caso poco frecuente a la comunidad podológica sus posibles tratamientos y tener referencias bibliográficas.

Caso clínico

Presentamos el caso de una mujer caucásica de 62 años que acudió a consulta por presentar hematoma subungueal en ambos primeros dedos del pie. Al realizar la exploración física, se halló que presentaba hipoplasia del segundo, tercer y cuarto dedos del pie izquierdo y microniquia, sin presentar queratosis a nivel plantar (Figura 1).


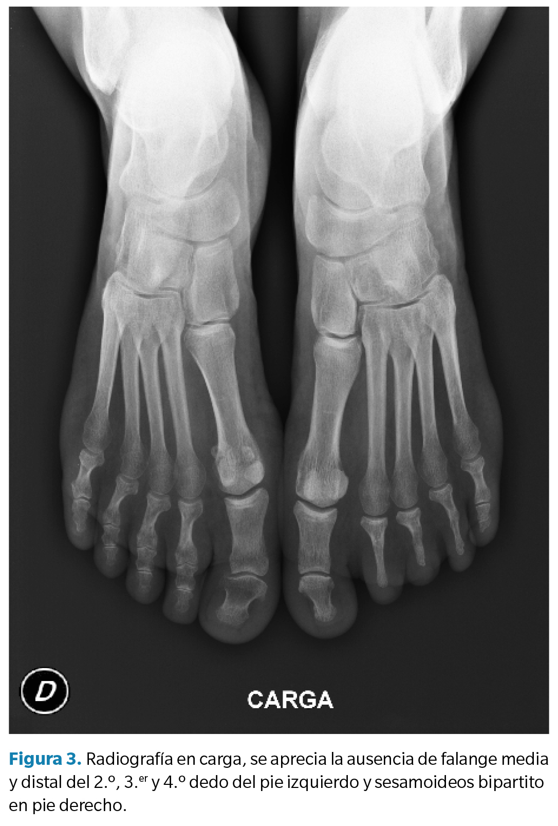
Posteriormente, se realizó una radiografía en carga, en proyección anteroposterior para complementar la exploración. Se halló de forma excepcional la ausencia de falanges medias y distales del segundo, tercero y cuarto dedo del pie izquierdo (Figura 2 y Figura 3). Se observó una diferencia de la fórmula metatarsal entre ambos pies, presentando un índex minus en el pie izquierdo y un index plus minus en el pie derecho. Hallazgos compatibles con BDB aislada.


La paciente no tenía antecedentes familiares de BD o trastorno genético. En cuanto al historial médico presentó hipertensión arterial e hipotiroidismo, ambos tratados farmacológicamente.
Se optó por un tratamiento conservador, ya que BDB no representó un complejo estético al paciente. Indicando el uso de un calzado de puntera flexible y amplio.

Discusión

La prevalencia de BDB es muy rara, puede ocurrir como un rasgo aislado o como parte de una malformación compleja de un síndrome(14). Los fenotipos de la BDB son los defectos faciales y deformidades de los dedos incluyendo las uñas, formando todas las características ya mencionadas parte de un síndrome. En este caso clínico, la paciente presentaba BDB unilateral con afectación de la segunda, tercera y cuarta falange media y distal. En el artículo de revisión realizado por Temany y cols. indicó que la cirugía solo está indicada si la BD afecta la función de la extremidad o por motivos estéticos, pero normalmente no es necesaria(9). En nuestro caso clínico no se observó queratosis a nivel plantar que sugieran alteración a nivel biomecánico, presentando una fórmula metatarsal diferente en cada pie.
Poerink y cols., en el año 2010, presentaron un caso clínico similar al nuestro, una adolescente procedente de Oriente Próximo con BDB y anoniquia, cuyos fenotipos forman parte del síndrome de Cooks(10). Existen registros de BDB aislada, AbuHaweeleh y cols. presentaron el caso de un varón de ocho meses de edad, de origen asiático, que presentó ausencia de la falange media y distal del tercer dedo del pie izquierdo, el cual no requirió ningún tratamiento quirúrgico(16). La bibliografía sobre la BDB es limitada en comparación de otras malformaciones como la braquimetatarsia, cuya incidencia es del 0.02-0.05 %, de la cual se mencionan diversos tratamientos quirúrgicos para alargar los metatarsianos restituyendo la parábola metatarsal(17). Sin embargo, la viabilidad de alargar la falange es posible mediante la utilización de mini fijadores. Kim y cols., en un estudio realizado en 2008, lograron alargar falanges distales con el objetivo de corregir deformidades de la uña, logrando una elongación gradual de 0.125 mm/día llegando alargar una media de 9.8 mm. Se realizó la fijación con tres agujas de Kirschner transversalmente en la falange distal y una aguja de Kirschner fijada en la cabeza de la falange media. Posteriormente, se colocó un mini fijador CK y se realizó una osteotomía mediante sierra eléctrica con una hoja del n.º 15 entre la aguja más próxima y distal(18). Otra alternativa de tratamiento es la planteada por Lundborg y cols. mediante osteotomía en la falange media y posterior a la inserción de distractores de Kessler iniciando un alargamiento diario progresivo de 0.5-1 mm, pudiendo alargar la falange 15 mm. Después de retirar el dispositivo, se procedió al injerto de hueso cortical esponjoso de la cresta ilíaca, realizando la fijación posterior con agujas de Kirschner(19). Otro ejemplo de alargamiento de falanges es la realizada por Jiang y cols., logrando elongar la falange distal del primer dedo mediante el uso de fijadores externos en pacientes con BD tipo D, elongando el dedo una media de 4 mm y logrando también que la uña obtenga una estética normal. Se procedió a retirar la lámina ungueal en el borde del eponiquio mediante un elevador; posteriormente se realizó una incisión transversal en el lecho ungueal cerca de la lúnula, y se elevó el lecho ungueal y el periostio para exponer la falange distal. Se insertaron dos tornillos quirúrgicos de 1.6 mm en la falange distal, uno en la base proximal a la osteotomía y el otro distal a la misma. La osteotomía se realizó mediante una mini sierra en la diáfisis. Posteriormente, se colocó un mini fijador externo (Double Medical, Xiamen, China) (20).
En conclusión, la BD no deja de ser un hallazgo infrecuente que puede tener un tratamiento quirúrgico y/o conservador dependiendo de los complejos estéticos que pueda repercutir la vida del paciente.

Conflicto de intereses

El autor declara no tener ningún tipo de conflicto de intereses en la realización de este artículo.

Financiación

No existen fuentes de financiación públicas o privadas en la realización de la presente nota clínica.

Bibliografía

  1. Chen H. Brachydactyly. In: Atlas of Genetic Diagnosis and Counseling. New York: Springer Verlag; 2016. p. 1-12.
  2. Everman, D. Brachydactyly. In: Narins B, editor. Gale Encyclopedia of Genetic Disorders.Detroit: Thomson Gale; 2005. p. 175-78.
  3. Everman D. Hands and Feet. In: Stevenson RE, Hall JG, editors. Human Malformations and Related Anomalies.2nd ed. New York: Oxford University Press; 2006. p. 935-68.
  4. Hall CM. International nosology and classification of constitutional disorders of bone (2001). Am J Med Genet. 2002;113(1):65-77.
  5. Dudek RW, James DF. Embriología. 4.ª ed. Barcelona: Wolters Kluwer; 2008.
  6. Pereda A, Garin I, Garcia-Barcina M, Gener B, Beristain E, Ibañez AM, Perez de Nanclares G. Brachydactyly E: isolated or as a feature of a syndrome. Orphanet J Rare Dis. 2013;8:141. DOI: 10.1186/1750-1172-8-141.
  7. Sulimani RA, El-Kinani S. Familial Type E Brachydactyly in a Saudi Family: A Case Report with Discussion of the Differential Diagnosis. Ann Saudi Med. 1990;10(1):75-77. DOI: 10.5144/0256-4947.1990.75. DOI: 10.5144/0256-4947.1990.75.
  8. Brachydactyly, Type B1; BDB1 [Internet] OMIM; 2024 [acceso en marzo de 2024]. Disponible en: https://omim.org/entry/113000?search=113000&highlight=113000.
  9. David A, Vincent M, Quéré MP, Lefrançois T, Frampas E, David A. Isolated and syndromic brachydactylies: Diagnostic value of hand X-rays. Diagn Interv Imaging. 2015;96(5):443-8. DOI: 10.1016/j.diii.2014.12.007.
  10. Gong Y, Chitayat D, Kerr B, Chen T, Babul-Hirji R, Pal A, et al. Brachydactyly type B: clinical description, genetic mapping to chromosome 9q, and evidence for a shared ancestral mutation. Am J Hum Genet. 1999;64(2):570-7. DOI: 10.1086/302249.
  11. Lang F. Brachydactyly. In: Encyclopedia of Molecular Mechanisms of Disease. Berlin:Springer Verlang; 2009. p. 236-7.
  12. David A, Vincent M, Quéré MP, Lefrançois T, Frampas E, David A. Isolated and syndromic brachydactylies: Diagnostic value of hand X-rays. Diagn Interv Imaging. 2015;96(5):443-8. DOI: 10.1016/j.diii.2014.12.007.
  13. Gurrieri F, Kjaer KW, Sangiorgi E, Neri G. Limb anomalies: Developmental and evolutionary aspects. Am J Med Genet. 2002;115(4):231-44. DOI: 10.1002/ajmg.10981.
  14. Temtamy SA, Aglan MS. Brachydactyly. Orphanet J Rare Dis. 2008;3:15. DOI: 10.1186/1750-1172-3-15.
  15. Poerink JG, Kon M, van Minnen LP. Brachydactyly, anonychia and a deformed nasal tip in a 16-year-old girl: a case report. J Plast Reconstr Aesthet Surg. 2011;64(6):822-6. DOI: 10.1016/j.bjps.2010.08.043.
  16. AbuHaweeleh MN, Ahmed MB, Al-Mohannadi FS, Mohamed MD, AlSherawi A. Brachydactyly type B: a rare case report and literature review. J Surg Case Rep. 2024;2024(5):rjae376. DOI: 10.1093/jscr/rjae376.
  17. Escardo J, Nuñez MA, Bianchi G. Braquimetatarsia. Propuesta de tratamiento en base a técnicas de alargamiento. A propósito de dos casos. An Facultad Med (Univ Repúb Urug.). 2023;10(1):e405-e405. DOI: 10.25184/anfamed2023v10n1a11. DOI: 10.25184/anfamed2023v10n1a11.
  18. Kim JY, Kwon ST. Correction of contracted nail deformity by distraction lengthening. Ann Plast Surg. 2008;61(2):153-6. DOI: 10.1097/SAP.0b013e31815a356e.
  19. Lundborg G, Sollerman C. A case of phalangeal lengthening. Acta Orthop Scand. 1987;58(4):423-5. DOI: 10.3109/17453678709146372.
  20. Jiang Y, Hou Z, Huang L, A Chi J, Zhang Y, Sun W. Aesthetic correction of short nail deformity in congenital brachydactyly Type D by distraction lengthening. J Hand Surg Eur Vol. 2022;47(10):1032-8. DOI: 10.1177/17531934221106968.

Nuevo comentario

Código de seguridad:
CAPTCHA code image
Speak the codeChange the code
 

Comentarios

No hay comentarios para este artículo.

Bibliografía

1. Chen H. Brachydactyly. In: Atlas of Genetic Diagnosis and Counseling. New York: Springer Verlag; 2016. p. 1-12.
2. Everman, D. Brachydactyly. In: Narins B, editor. Gale Encyclopedia of Genetic Disorders.Detroit: Thomson Gale; 2005. p. 175-78.
3. Everman D. Hands and Feet. In: Stevenson RE, Hall JG, editors. Human Malformations and Related Anomalies.2nd ed. New York: Oxford University Press; 2006. p. 935-68.
4. Hall CM. International nosology and classification of constitutional disorders of bone (2001). Am J Med Genet. 2002;113(1):65-77.
5. Dudek RW, James DF. Embriología. 4.ª ed. Barcelona: Wolters Kluwer; 2008.
6. Pereda A, Garin I, Garcia-Barcina M, Gener B, Beristain E, Ibañez AM, Perez de Nanclares G. Brachydactyly E: isolated or as a feature of a syndrome. Orphanet J Rare Dis. 2013;8:141.
7. Sulimani RA, El-Kinani S. Familial Type E Brachydactyly in a Saudi Family: A Case Report with Discussion of the Differential Diagnosis. Ann Saudi Med. 1990;10(1):75-77. DOI: 10.5144/0256-4947.1990.75.
8. Brachydactyly, Type B1; BDB1 [Internet] OMIM; 2024 [acceso en marzo de 2024]. Disponible en: https://omim.org/entry/113000?search=113000&highlight=113000
9. David A, Vincent M, Quéré MP, Lefrançois T, Frampas E, David A. Isolated and syndromic brachydactylies: Diagnostic value of hand X-rays. Diagn Interv Imaging. 2015;96(5):443-8.
10. Gong Y, Chitayat D, Kerr B, Chen T, Babul-Hirji R, Pal A, et al. Brachydactyly type B: clinical description, genetic mapping to chromosome 9q, and evidence for a shared ancestral mutation. Am J Hum Genet. 1999;64(2):570-7.
11. Lang F. Brachydactyly. In: Encyclopedia of Molecular Mechanisms of Disease. Berlin:Springer Verlang; 2009. p. 236-7.
12. David A, Vincent M, Quéré MP, Lefrançois T, Frampas E, David A. Isolated and syndromic brachydactylies: Diagnostic value of hand X-rays. Diagn Interv Imaging. 2015;96(5):443-8.
13. Gurrieri F, Kjaer KW, Sangiorgi E, Neri G. Limb anomalies: Developmental and evolutionary aspects. Am J Med Genet. 2002;115(4):231-44.
14. Temtamy SA, Aglan MS. Brachydactyly. Orphanet J Rare Dis. 2008;3:15.
15. Poerink JG, Kon M, van Minnen LP. Brachydactyly, anonychia and a deformed nasal tip in a 16-year-old girl: a case report. J Plast Reconstr Aesthet Surg. 2011;64(6):822-6.
16. AbuHaweeleh MN, Ahmed MB, Al-Mohannadi FS, Mohamed MD, AlSherawi A. Brachydactyly type B: a rare case report and literature review. J Surg Case Rep. 2024;2024(5):rjae376.
17. Escardo J, Nuñez MA, Bianchi G. Braquimetatarsia. Propuesta de tratamiento en base a técnicas de alargamiento. A propósito de dos casos. An Facultad Med (Univ Repúb Urug.). 2023;10(1):e405-e405. DOI: 10.25184/anfamed2023v10n1a11
18. Kim JY, Kwon ST. Correction of contracted nail deformity by distraction lengthening. Ann Plast Surg. 2008;61(2):153-6.
19. Lundborg G, Sollerman C. A case of phalangeal lengthening. Acta Orthop Scand. 1987;58(4):423-5.
20. Jiang Y, Hou Z, Huang L, A Chi J, Zhang Y, Sun W. Aesthetic correction of short nail deformity in congenital brachydactyly Type D by distraction lengthening. J Hand Surg Eur Vol. 2022;47(10):1032-8.

Artículos relacionados

Efectividad clínica y funcional del alargamiento de la musculatura posterior de la pierna: revisión sistemática

Rev. Esp. Pod. 2025; 36(2): 176-183 / DOI: 10.20986/revesppod.2025.1747/2025

Consecuencias de la dermatomiositis juvenil a nivel podológico. Revisión bibliográfica

Rev. Esp. Pod. 2025; 36(2): 164-169 / DOI: 10.20986/revesppod.2025.1731/2025

Implicaciones podológicas de las secuelas del síndrome de Guillain-Barré: revisión sistemática

Rev. Esp. Pod. 2025; 36(2): 156-163 / DOI: 10.20986/revesppod.2025.1742/2025

Revisión sistemática de la afectación podológica en el síndrome de Andrade

Rev. Esp. Pod. 2025; 36(2): 148-155 / DOI: 10.20986/revesppod.2025.1740/2025

Tratamiento quirúrgico de ganglión polinodular intratendinoso. Caso clínico

Rev. Esp. Pod. 2025; 36(2): 143-147 / DOI: 10.20986/revesppod.2025.1755/2025

Osteocondroma en la falange distal de un paciente pediátrico: reporte de caso

Rev. Esp. Pod. 2025; 36(2): 139-142 / DOI: 10.20986/revesppod.2025.1751/2025

Tratamiento quirúrgico de necrosis del primer dedo por septicemia: caso clínico

Rev. Esp. Pod. 2025; 36(2): 135-138 / DOI: 10.20986/revesppod.2025.1746/2025

Relación entre los parámetros de la marcha y el miedo a caerse en personas con fibromialgia

Rev. Esp. Pod. 2025; 36(2): 103-110 / DOI: 10.20986/revesppod.2025.1745/2025

Asociación entre la movilidad del primer radio del pie y el dolor lumbar: estudio observacional transversal

Rev. Esp. Pod. 2025; 36(2): 96-102 / DOI: 10.20986/revesppod.2025.1744/2025

Eficacia de las ondas de choque en el tratamiento de la fascitis plantar crónica: revisión bibliográfica

Rev. Esp. Pod. 2025; 36(1): 81-86 / DOI: 10.20986/revesppod.2025.1726/2025

Efectividad del uso de cemento óseo en el tratamiento de osteomielitis en pie diabético

Rev. Esp. Pod. 2025; 36(1): 67-74 / DOI: 10.20986/revesppod.2025.1718/2024

Molluscum pendulum en el pie. Caso clínico

Rev. Esp. Pod. 2025; 36(1): 54-58 / DOI: 10.20986/revesppod.2025.1728/2025

Carcinoma epidermoide asociado a onicocriptosis: caso clínico

Rev. Esp. Pod. 2025; 36(1): 48-53 / DOI: 10.20986/revesppod.2025.1729/2025

Variables determinantes en el dolor podal en jugadores de pádel. Análisis observacional

Rev. Esp. Pod. 2025; 36(1): 35-41 / DOI: 10.20986/revesppod.2025.1727/2025

Estudio comparativo de tres técnicas para la anestesia troncular: H de Frost y sus modificaciones

Rev. Esp. Pod. 2025; 36(1): 3-8 / DOI: 10.20986/revesppod.2025.1709/2024

El rol del podólogo en el manejo multidisciplinar del pie diabético: una necesidad en el sistema de salud

Rev. Esp. Pod. 2025; 36(1): 1-2 / DOI: 10.20986/revesppod.2025.1724/2025

Eficacia de la artroscopia en el hallux rígidus: una revisión sistemática

Rev. Esp. Pod. 2024; 35(1): 49-56 / DOI: 10.20986/revesppod.2024.1689/2024

Abordaje quirúrgico del pie reumático. Serie de casos

Rev. Esp. Pod. 2024; 35(1): 17-21 / DOI: 10.20986/revesppod.2024.1678/2023

La tenosinovitis ecográfica de tobillo está asociada a la alteración funcional del pie: un estudio transversal

Rev. Esp. Pod. 2024; 35(1): 11-16 / DOI: 10.20986/revesppod.2024.1692/2024

Herramientas de medición de la patología ungueal: revisión literaria

Rev. Esp. Pod. 2023; 34(2): 113-120 / DOI: 10.20986/revesppod.2023.1667/2023

Sospecha ecográfica de carcinoma basocelular. A propósito de un caso

Rev. Esp. Pod. 2023; 34(2): 109-112 / DOI: 10.20986/revesppod.2023.1675/2023

Lesiones de interés podológico en la práctica habitual de deportes de contacto

Rev. Esp. Pod. 2023; 34(2): 104-108 / DOI: 10.20986/revesppod.2023.1668/2023

Anomalías rotacionales en mujeres con hallux valgus. Estudio observacional

Rev. Esp. Pod. 2023; 34(2): 90-98 / DOI: 10.20986/revesppod.2023.1673/2023

Morfología y función del pie en pacientes con ciática. Un estudio descriptivo transversal

Rev. Esp. Pod. 2023; 34(2): 82-89 / DOI: 10.20986/revesppod.2023.1672/2023

Limitación de la flexión dorsal del tobillo y del hallux en nadadores de categoría máster

Rev. Esp. Pod. 2023; 34(2): 74-81 / DOI: 10.20986/revesppod.2023.1671/2023

Afectaciones del miembro inferior en sujetos que realizan kick-boxing: estudio descriptivo

Rev. Esp. Pod. 2023; 34(2): 69-73 / DOI: 10.20986/revesppod.2023.1669/2023

Mapeo sonográfico de los nervios de la cara medial del tobillo y del pie

Rev. Esp. Pod. 2023; 34(1): 52-57 / DOI: 10.20986/revesppod.2023.1665/2023

Tratamiento quirúrgico de una úlcera plantar en paciente con pie diabético. A propósito de un caso

Rev. Esp. Pod. 2023; 34(1): 47-51 / DOI: 10.20986/revesppod.2023.1658/2023

Influencia del tratamiento quirúrgico para el hallux abductus valgus en la movilidad del primer radio

Rev. Esp. Pod. 2023; 34(1): 13-18 / DOI: 10.20986/revesppod.2023.1650/2022

Estimación de la osificación de los huesos del pie sobre población extremeña. Estudio observacional

Rev. Esp. Pod. 2023; 34(1): 3-12 / DOI: 10.20986/revesppod.2023.1654/2022

Resolución quirúrgica de un sesamoideo interfalángico del hallux

Rev. Esp. Pod. 2022; 33(2): 122-127 / DOI: 10.20986/revesppod.2022.1645/2022

Reducción de presiones plantares dinámicas en el antepié plantar medial con calcetines biomecánicos

Rev. Esp. Pod. 2022; 33(2): 110-114 / DOI: 10.20986/revesppod.2022.1646/2022

Presiones plantares en dos modelos de calcetín con diferente separación de ondas tridimensionales

Rev. Esp. Pod. 2022; 33(2): 88-95 / DOI: 10.20986/revesppod.2022.1641/2022

Aplicación del ácido hialurónico en el tratamiento de las úlceras en el pie

Rev. Esp. Pod. 2022; 33(2): 77-78 / DOI: 10.20986/revesppod.2022.1648/2022

Actualización de nuevas técnicas de vendaje neuromuscular en podología

Rev. Esp. Pod. 2022; 33(1): 59-65 / DOI: 10.20986/revesppod.2022.1630/2022

Falso nódulo reumatoide en tercer dedo del pie izquierdo y su tratamiento quirúrgico. A propósito de un caso

Rev. Esp. Pod. 2022; 33(1): 54-58 / DOI: 10.20986/revesppod.2022.1628/2021

Caso clínico: angioleiomioma en el pie

Rev. Esp. Pod. 2022; 33(1): 50-53 / DOI: 10.20986/revesppod.2022.1622/2021

Dolor y postura del pie en pacientes con lupus eritematoso sistémico. Un estudio descriptivo

Rev. Esp. Pod. 2022; 33(1): 35-40 / DOI: 10.20986/revesppod.2022.1633/2022

Variación baropodométrica con la pérdida de peso: un estudio experimental

Rev. Esp. Pod. 2022; 33(1): 21-28 / DOI: 10.20986/revesppod.2022.1627/2021

Efectividad de las infiltraciones con colágeno para la fascitis plantar: ensayo clínico aleatorizado

Rev. Esp. Pod. 2022; 33(1): 14-20 / DOI: 10.20986/revesppod.2022.1608/2021

Talectomía. A propósito de un caso

Rev. Esp. Pod. 2021; 32(2): 140-145 / DOI: 10.20986/revesppod.2021.1616/2021

Test de estudio biomecánico en niños y adolescentes: una revisión sistemática

Rev. Esp. Pod. 2021; 32(2): 132-139 / DOI: 10.20986/revesppod.2021.1611/2021

Movimiento del primer radio en sujetos con hallux limitus vs. sujetos con pies normales
III Premio Virginia Novel

Rev. Esp. Pod. 2021; 32(2): 116-122 / DOI: 10.20986/revesppod.2021.1621/2021

Simetría en la temperatura podal en pacientes diabéticos y su relación con el índice postural del pie

Rev. Esp. Pod. 2021; 32(2): 106-115 / DOI: 10.20986/revesppod.2021.1607/2021

Reducción de las presiones plantares dinámicas en un calcetín experimental. Un estudio preliminar

Rev. Esp. Pod. 2021; 32(2): 86-92 / DOI: 10.20986/revesppod.2021.1619/2021

Temperatura del pie en las diferentes fases del ciclo menstrual

Rev. Esp. Pod. 2021; 32(2): 79-85 / DOI: 10.20986/revesppod.2021.1606/2021

Fibroqueratoma digital adquirido multirramificado. Caso clínico

Rev. Esp. Pod. 2021; 32(1): 58-62 / DOI: 10.20986/revesppod.2021.1578/2020

Estudio radiográfico sobre la movilidad del primer radio en los planos sagital y frontal

Rev. Esp. Pod. 2021; 32(1): 27-35 / DOI: 10.20986/revesppod.2021.1600/2021

Análisis descriptivo del movimiento 3D del pie mediante sensores inerciales: comparación entre extremidades

Rev. Esp. Pod. 2021; 32(1): 13-17 / DOI: 10.20986/revesppod.2021.1594/2020

Relación entre la flexión dorsal de tobillo y la flexibilidad de la columna medial

Rev. Esp. Pod. 2021; 32(1): 7-12 / DOI: 10.20986/revesppod.2021.1572/2020

Ángulo de Meschan a través de la fotografía clínica: estudio piloto

Rev. Esp. Pod. 2021; 32(1): 2-6 / DOI: 10.20986/revesppod.2021.1565/2020

Reconstrucción quirúrgica de un caso clínico complejo de neuroartropatía de Charcot

Rev. Esp. Pod. 2020; 31(2): 117-125 / DOI: 10.20986/revesppod.2020.1569/2020

Cirugía metatarsal mínimamente invasiva en la metatarsalgia iatrogénica. Serie de casos retrospectiva

Rev. Esp. Pod. 2020; 31(2): 93-101 / DOI: 10.20986/revesppod.2020.1574/2020

Estudio de la ansiedad en el paciente prequirúrgico en cirugía del pie

Rev. Esp. Pod. 2020; 31(2): 87-92 / DOI: 10.20986/revesppod.2020.1562/2020

Estabilidad dinámica de la pelvis y su relación con las presiones plantares

Rev. Esp. Pod. 2020; 31(2): 65-70 / DOI: 10.20986/revesppod.2020.1558/2020

El impacto de los pies para la salud

Rev. Esp. Pod. 2020; 31(2): 63-64 / DOI: 10.20986/revesppod.2020.1586/2020

Abordaje multidisciplinar de úlceras neuroisquémicas; a propósito de un caso

Rev. Esp. Pod. 2020; 31(1): 55-61 / DOI: 10.20986/revesppod.2020.1573/2020

Estudio sobre la efectividad de las ortesis plantares en las patologías más frecuentes del pie

Rev. Esp. Pod. 2020; 31(1): 16-23 / DOI: 10.20986/revesppod.2020.1557/2020

Técnica quirúrgica “Ruiz”. Innovación para corregir la uña involuta y la onicocriptosis

Rev. Esp. Pod. 2020; 31(1): 10-15 / DOI: 10.20986/revesppod.2020.1550/2019

Punción ecoguiada frente a la punción ciega en el bloqueo nervioso del pie: revisión bibliográfica narrativa

Rev. Esp. Pod. 2019; 30(2): 101-108 / DOI: 10.20986/revesppod.2019.1548/2019

Prestación sanitaria de calzado ortopédico en un área hospitalaria: Estudio transversal

Rev. Esp. Pod. 2019; 30(2): 81-86 / DOI: 10.20986/revesppod.2019.1547/2019

Efectos del vendaje Low-Dye sobre el pie. Revisión narrativa

Rev. Esp. Pod. 2019; 30(1): 38-52 / DOI: 10.20986/revesppod.2019.1526/2018

Extracción de tofos gotosos. Caso clínico.

Rev. Esp. Pod. 2019; 30(1): 24-30 / DOI: 10.20986/revesppod.2019.1515/2018

Valores normativos para determinar un pie plano o cavo

Rev. Esp. Pod. 2019; 30(1): 15-23 / DOI: 10.20986/revesppod.2019.1540/2019

Prevención de las infecciones en el pie

Rev Esp Pod 2010;21:247-52

Infecciones bacterianas de la piel

Rev Esp Pod 2010;21:220-4

Infecciones en el pie. Introducción

Rev Esp Pod 2010;21:210-1

Charcot - Marie - Tooth

Rev Esp Pod 2010;21:146-51

Neuroma de Morton

Rev Esp Pod 2010;21:114-7

Arteriopatía periférica. Pies en riesgo

Rev Esp Pod 2010;21:100-2

Fitoterapia y sus aplicaciones

Rev Esp Pod 2011;22:258-67

Podología preventiva y comunitaria

Rev Esp Pod 2011;22:195-200

Biomecánica en las AFOS. AFO PODIÁTRICAS.

Rev Esp Pod 2012;23:184-94

La magnetoterapia en el pie

Rev Esp Pod 2012;23:132-6

Fractura de estrés de sesamoideo medial

Rev Esp Pod 2012;23:112-4

Fibroqueratoma digital. Caso clínico

Rev Esp Pod 2012;23:76-8

El Heberprot-P

Rev Esp Pod 2015;26:12-4

Lesiones acrómicas en el pie: Vitíligo

Rev Esp Pod 2014;25:52-4

El Heberprot-P

Rev Esp Pod 2015;26:12-4

Modelo de estrés de tejidos. Aplicaciones clínicas en la patología del pie

Rev. Esp. Pod. 2018; 29(2): 101-112 / DOI: 10.20986/revesppod.2018.1531/2018

Plastia en “S” para la escisión de una lesión circular en el hallux: caso clínico

Rev. Esp. Pod. 2018; 29(2): 94-100 / DOI: 10.20986/revesppod.2018.1525/2018

Frecuencia de onicocriptosis recurrente en población diabética derivada a una consulta de podología

Rev. Esp. Pod. 2018; 29(2): 75-80 / DOI: 10.20986/revesppod.2018.1523/2018

Podología y dinámica: análisis del impulso

Rev Esp Podol. 2018;29(Supl. 2):36-41

Obtención de moldes para pie valgo

Rev Esp Podol. 2018;29(Supl. 2):17-19

Cirugía del pie plano: una visión personal / Flatfoot surgery: a personal view

Rev Esp Podol. 2018;29(1):49-59 / DOI: 10.20986/revesppod.2018.1516/2018

Instrucciones para citar

Villanueva Sánchez B. Braquidactilia tipo B: a propósito de un caso poco frecuente. Rev Esp Pod 2024; 35(2): 116-119 / DOI: 1020986/revesppod20241702/2024


Descargar a un gestores de citas

Descargue la cita de este artículo haciendo clic en uno de los siguientes gestores de citas:

Métrica

Este artículo ha sido visitado 22468 veces.
Este artículo ha sido descargado 43 veces.

Estadísticas de Dimensions


Estadísticas de Plum Analytics

Ficha Técnica

Recibido: 22/06/2024

Aceptado: 02/10/2024

Prepublicado: 08/11/2024

Publicado: 26/12/2024

Tiempo de revisión del artículo: 100 días

Tiempo de prepublicación: 139 días

Tiempo de edición del artículo: 187 días


Compartir

Este artículo aun no tiene valoraciones .
Valoración del lector:
Valora este artículo:
2026 Revista Española de Podología
ISSN: 0210-1238   e-ISSN: 2695-463X

      Indexada en: