DOI: http://dx.doi.org/10.20986/revesppod.2024.1702/2024
NOTA CLÍNICA
Braquidactilia tipo B: a propósito de un caso poco frecuente
Brachydactyly type B: rare case report
Brian Villanueva Sánchez1
1Práctica privada. Barcelona, España
Resumen
La braquidactilia es una condición genética caracterizada por el acortamiento de los dedos de las manos o de los pies que pueden ocurrir de forma aislada o formando parte de un síndrome. El presente artículo muestra el caso clínico de una mujer de 62 años, que presentaba hematoma subungueal en ambos primeros dedos del pie y braquidactilia aislada afectando al segundo, tercer y cuarto dedo del pie izquierdo. El objetivo de este artículo es poner en evidencia un hallazgo clínico infrecuente y sus posibles tratamientos.
Palabras clave: Pie, braquidactilia, genética, malformación
Abstract
Brachydactyly is a genetic condition characterized by shortening of the fingers or toes that can occur in isolation or as a part of a syndrome. This article report the clinical case of a 62-year-old woman who presented subungual hematoma in both first toes and isolated brachydactyly affecting the second, third and fourth toes of the left foot. The objective of this article is to highlight a rare clinical finding and its possible treatments.
Key words: Foot, brachydactyly, genetic, malformation
Correspondencia: Brian Villanueva Sánchez
villanueva1brian@gmail.com
Recibido: 22-06-2024
Aceptado: 02-10-2024
Introducción
La braquidactilia (BD) es una malformación de las extremidades que afecta a la longitud de los dedos de manos y pies, caracterizada por una disostosis, osificación defectuosa de los cartílagos fetales, la cual puede ocurrir de forma aislada o en combinación de varias malformaciones óseas, formando parte de un síndrome(1,2).
Las malformaciones de manos y pies que puedan aparecer ocurren durante la blastogénesis, que tiene lugar de la cuarta a la octava semana siguiente a la concepción, o mucho después de que se forme la extremidad(3,4). En condiciones de normalidad durante el desarrollo embrionario, la formación de la extremidad inferior ocurre durante la sexta semana de desarrollo; el mesodermo condensado se condrifica para formar un molde de cartílago hialino de los huesos de la extremidad inferior(5).
Diferentes anomalías, tales como sinfalangismo, sindactilia o la desviación digital, son características de presentar BD, pudiendo ser reconocida en el nacimiento o en la niñez después de un fallo de la osificación de componentes digitales. Se pueden distinguir diferentes tipos de BD según criterios anatómicos y patrones radiológicos(3), la mayoría de los tipos son raros exceptuando la BD tipo A3 y BD tipo D, que tienen una prevalencia de alrededor del 2 %(6,7) (Tabla 1). Este artículo se enfoca en la BD tipo B (BDB; ONIM # 113000) (11).

Las características distintivas de la BDB son la hipoplasia o ausencia de falanges distales y láminas ungueales, como también el acortamiento de las falanges medias, produciendo un aspecto de amputaciones de los dedos de la segunda a la quinta falange(3,12,13).
La BDB es un trastorno autosómico dominante, causada por mutaciones heterocigóticas en el gen ROR2 que codifica un receptor tirosina quinasa, localizado en el cromosoma 9 en 9q22 (8, 14,15). La idea de este artículo es presentar este caso poco frecuente a la comunidad podológica sus posibles tratamientos y tener referencias bibliográficas.
Caso clínico
Presentamos el caso de una mujer caucásica de 62 años que acudió a consulta por presentar hematoma subungueal en ambos primeros dedos del pie. Al realizar la exploración física, se halló que presentaba hipoplasia del segundo, tercer y cuarto dedos del pie izquierdo y microniquia, sin presentar queratosis a nivel plantar (Figura 1).

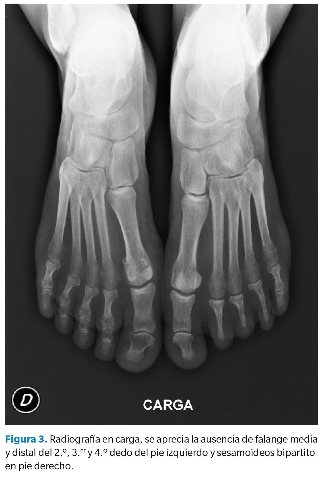
Posteriormente, se realizó una radiografía en carga, en proyección anteroposterior para complementar la exploración. Se halló de forma excepcional la ausencia de falanges medias y distales del segundo, tercero y cuarto dedo del pie izquierdo (Figura 2 y Figura 3). Se observó una diferencia de la fórmula metatarsal entre ambos pies, presentando un índex minus en el pie izquierdo y un index plus minus en el pie derecho. Hallazgos compatibles con BDB aislada.


La paciente no tenía antecedentes familiares de BD o trastorno genético. En cuanto al historial médico presentó hipertensión arterial e hipotiroidismo, ambos tratados farmacológicamente.
Se optó por un tratamiento conservador, ya que BDB no representó un complejo estético al paciente. Indicando el uso de un calzado de puntera flexible y amplio.
Discusión
La prevalencia de BDB es muy rara, puede ocurrir como un rasgo aislado o como parte de una malformación compleja de un síndrome(14). Los fenotipos de la BDB son los defectos faciales y deformidades de los dedos incluyendo las uñas, formando todas las características ya mencionadas parte de un síndrome. En este caso clínico, la paciente presentaba BDB unilateral con afectación de la segunda, tercera y cuarta falange media y distal. En el artículo de revisión realizado por Temany y cols. indicó que la cirugía solo está indicada si la BD afecta la función de la extremidad o por motivos estéticos, pero normalmente no es necesaria(9). En nuestro caso clínico no se observó queratosis a nivel plantar que sugieran alteración a nivel biomecánico, presentando una fórmula metatarsal diferente en cada pie.
Poerink y cols., en el año 2010, presentaron un caso clínico similar al nuestro, una adolescente procedente de Oriente Próximo con BDB y anoniquia, cuyos fenotipos forman parte del síndrome de Cooks(10). Existen registros de BDB aislada, AbuHaweeleh y cols. presentaron el caso de un varón de ocho meses de edad, de origen asiático, que presentó ausencia de la falange media y distal del tercer dedo del pie izquierdo, el cual no requirió ningún tratamiento quirúrgico(16). La bibliografía sobre la BDB es limitada en comparación de otras malformaciones como la braquimetatarsia, cuya incidencia es del 0.02-0.05 %, de la cual se mencionan diversos tratamientos quirúrgicos para alargar los metatarsianos restituyendo la parábola metatarsal(17). Sin embargo, la viabilidad de alargar la falange es posible mediante la utilización de mini fijadores. Kim y cols., en un estudio realizado en 2008, lograron alargar falanges distales con el objetivo de corregir deformidades de la uña, logrando una elongación gradual de 0.125 mm/día llegando alargar una media de 9.8 mm. Se realizó la fijación con tres agujas de Kirschner transversalmente en la falange distal y una aguja de Kirschner fijada en la cabeza de la falange media. Posteriormente, se colocó un mini fijador CK y se realizó una osteotomía mediante sierra eléctrica con una hoja del n.º 15 entre la aguja más próxima y distal(18). Otra alternativa de tratamiento es la planteada por Lundborg y cols. mediante osteotomía en la falange media y posterior a la inserción de distractores de Kessler iniciando un alargamiento diario progresivo de 0.5-1 mm, pudiendo alargar la falange 15 mm. Después de retirar el dispositivo, se procedió al injerto de hueso cortical esponjoso de la cresta ilíaca, realizando la fijación posterior con agujas de Kirschner(19). Otro ejemplo de alargamiento de falanges es la realizada por Jiang y cols., logrando elongar la falange distal del primer dedo mediante el uso de fijadores externos en pacientes con BD tipo D, elongando el dedo una media de 4 mm y logrando también que la uña obtenga una estética normal. Se procedió a retirar la lámina ungueal en el borde del eponiquio mediante un elevador; posteriormente se realizó una incisión transversal en el lecho ungueal cerca de la lúnula, y se elevó el lecho ungueal y el periostio para exponer la falange distal. Se insertaron dos tornillos quirúrgicos de 1.6 mm en la falange distal, uno en la base proximal a la osteotomía y el otro distal a la misma. La osteotomía se realizó mediante una mini sierra en la diáfisis. Posteriormente, se colocó un mini fijador externo (Double Medical, Xiamen, China) (20).
En conclusión, la BD no deja de ser un hallazgo infrecuente que puede tener un tratamiento quirúrgico y/o conservador dependiendo de los complejos estéticos que pueda repercutir la vida del paciente.
Conflicto de intereses
El autor declara no tener ningún tipo de conflicto de intereses en la realización de este artículo.
Financiación
No existen fuentes de financiación públicas o privadas en la realización de la presente nota clínica.
Bibliografía
- Chen H. Brachydactyly. In: Atlas of Genetic Diagnosis and Counseling. New York: Springer Verlag; 2016. p. 1-12.
- Everman, D. Brachydactyly. In: Narins B, editor. Gale Encyclopedia of Genetic Disorders.Detroit: Thomson Gale; 2005. p. 175-78.
- Everman D. Hands and Feet. In: Stevenson RE, Hall JG, editors. Human Malformations and Related Anomalies.2nd ed. New York: Oxford University Press; 2006. p. 935-68.
- Hall CM. International nosology and classification of constitutional disorders of bone (2001). Am J Med Genet. 2002;113(1):65-77.
- Dudek RW, James DF. Embriología. 4.ª ed. Barcelona: Wolters Kluwer; 2008.
- Pereda A, Garin I, Garcia-Barcina M, Gener B, Beristain E, Ibañez AM, Perez de Nanclares G. Brachydactyly E: isolated or as a feature of a syndrome. Orphanet J Rare Dis. 2013;8:141. DOI: 10.1186/1750-1172-8-141.
- Sulimani RA, El-Kinani S. Familial Type E Brachydactyly in a Saudi Family: A Case Report with Discussion of the Differential Diagnosis. Ann Saudi Med. 1990;10(1):75-77. DOI: 10.5144/0256-4947.1990.75. DOI: 10.5144/0256-4947.1990.75.
- Brachydactyly, Type B1; BDB1 [Internet] OMIM; 2024 [acceso en marzo de 2024]. Disponible en: https://omim.org/entry/113000?search=113000&highlight=113000.
- David A, Vincent M, Quéré MP, Lefrançois T, Frampas E, David A. Isolated and syndromic brachydactylies: Diagnostic value of hand X-rays. Diagn Interv Imaging. 2015;96(5):443-8. DOI: 10.1016/j.diii.2014.12.007.
- Gong Y, Chitayat D, Kerr B, Chen T, Babul-Hirji R, Pal A, et al. Brachydactyly type B: clinical description, genetic mapping to chromosome 9q, and evidence for a shared ancestral mutation. Am J Hum Genet. 1999;64(2):570-7. DOI: 10.1086/302249.
- Lang F. Brachydactyly. In: Encyclopedia of Molecular Mechanisms of Disease. Berlin:Springer Verlang; 2009. p. 236-7.
- David A, Vincent M, Quéré MP, Lefrançois T, Frampas E, David A. Isolated and syndromic brachydactylies: Diagnostic value of hand X-rays. Diagn Interv Imaging. 2015;96(5):443-8. DOI: 10.1016/j.diii.2014.12.007.
- Gurrieri F, Kjaer KW, Sangiorgi E, Neri G. Limb anomalies: Developmental and evolutionary aspects. Am J Med Genet. 2002;115(4):231-44. DOI: 10.1002/ajmg.10981.
- Temtamy SA, Aglan MS. Brachydactyly. Orphanet J Rare Dis. 2008;3:15. DOI: 10.1186/1750-1172-3-15.
- Poerink JG, Kon M, van Minnen LP. Brachydactyly, anonychia and a deformed nasal tip in a 16-year-old girl: a case report. J Plast Reconstr Aesthet Surg. 2011;64(6):822-6. DOI: 10.1016/j.bjps.2010.08.043.
- AbuHaweeleh MN, Ahmed MB, Al-Mohannadi FS, Mohamed MD, AlSherawi A. Brachydactyly type B: a rare case report and literature review. J Surg Case Rep. 2024;2024(5):rjae376. DOI: 10.1093/jscr/rjae376.
- Escardo J, Nuñez MA, Bianchi G. Braquimetatarsia. Propuesta de tratamiento en base a técnicas de alargamiento. A propósito de dos casos. An Facultad Med (Univ Repúb Urug.). 2023;10(1):e405-e405. DOI: 10.25184/anfamed2023v10n1a11. DOI: 10.25184/anfamed2023v10n1a11.
- Kim JY, Kwon ST. Correction of contracted nail deformity by distraction lengthening. Ann Plast Surg. 2008;61(2):153-6. DOI: 10.1097/SAP.0b013e31815a356e.
- Lundborg G, Sollerman C. A case of phalangeal lengthening. Acta Orthop Scand. 1987;58(4):423-5. DOI: 10.3109/17453678709146372.
- Jiang Y, Hou Z, Huang L, A Chi J, Zhang Y, Sun W. Aesthetic correction of short nail deformity in congenital brachydactyly Type D by distraction lengthening. J Hand Surg Eur Vol. 2022;47(10):1032-8. DOI: 10.1177/17531934221106968.